Tin tức và sự kiện

Tăng tỉ lệ thụ thai bằng IVF: Quay phim sự phát triển của phôi thai

Cập nhật lúc: 9:22:03 SA - 15/10/2010

(Dân trí) - Dùng máy quay theo dõi sự phát triển của trứng đã thụ tinh có thể sẽ cung cấp những manh mối về những phôi có cơ hội sống tốt nhất sau khi được thụ tinh trong ống nghiệm và cấy vào cơ thể người mẹ, báo cáo của các nhà nghiên cứu Stanford.

cheat on my wife letter to husband who cheated click
redirect online how many people cheat
why husband cheat go men and women
why husband cheat what causes women to cheat men and women
why husband cheat go men and women
reasons wives cheat on husbands dating site for married people open
reasons wives cheat on husbands i dream my husband cheated on me open
catch a cheat how can people cheat
open beautiful women cheat married men affairs
how many people cheat signs of a cheater read
read link how to cheat on my husband
why women cheat on men they love read here catching a cheater
why women cheat on men they love women who want to cheat catching a cheater
online how to catch a cheater affairs with married men
why do women cheat with married men wives that cheat why wives cheat on husbands
online click here signs of infidelity
online click here signs of infidelity
open click find an affair
men and women unfaithful wives married looking to cheat
men and women unfaithful wives married looking to cheat
link what is infidelity cheater
infidelity married men who cheat wife cheaters
go reasons married men cheat love affairs with married men
go reasons married men cheat love affairs with married men
looking for affair reasons why married men cheat link
redirect married affairs married men affairs
redirect my girl friend cheated on me married men affairs
men who have affairs dating a married woman why do men have affairs
go read here My girlfriend cheated on me
go infidelity signs My girlfriend cheated on me
read redirect men and women
read redirect men and women
my husband cheated on me redirect link
link how effective is abortion pill ru abortion pill
how do you get abortion pill milwaukee abortion clinic abortion by pills
reasons married men cheat website website
how to know if wife has cheated reasons why husband cheat open
how to know if wife has cheated what makes women cheat open
online open woman affair
meet and cheat go click
meet and cheat dating a married man click
website women affair i want an affair
click redirect marriage affairs
why do wife cheat how to cheat on husband women who cheat with married men
why do wife cheat why women cheat with married men women who cheat with married men
why do wife cheat read here women who cheat with married men
where to get an std test garysaggu.com symptoms of an std
did my husband cheat go i told my husband i cheated
do you cheat on your wife cheat on your spouse my wife cheated on me now what do i do
how can people cheat open women who like to cheat
catching a cheater robertsuk.com my boyfriend cheated on me with my mom
catching a cheater robertsuk.com my boyfriend cheated on me with my mom
why women cheat on their husbands centaurico.com what makes people cheat
reasons married men cheat click dating for married men
cheater why women cheat on their husband will my wife cheat again
when your husband cheats prashanthiblog.com meet to cheat
adult sex stories teacher student astrobix.com erotic adult non-concensual sex short stories
adult sex stories teacher student go erotic adult non-concensual sex short stories
photo prints walgreens walgreen printable coupons free discount prescription cards
coupons for walgreens pharmacy site rite aid photo coupon
how to find spy apps on android xn--sorpendlerklub-sqb.dk android spy cam
free grocery store coupons medication coupons printable medication coupon
free grocery store coupons medication coupons printable medication coupon
prescription discounts cards click free prescription cards
viagra 25mg carp-fishing.nl sildenafil citrate pill
zovirax pill site inderal 40mg
sumatriptan 100mg mostefaiamine.com cipro 250mg
doxycycline pill link viagra 130mg
clomiphene 25mg peider.dk inderal
viagra coupon card softballspa.com free printable viagra coupons
can i take cipro for a sinus infection go can i take cipro for a sinus infection
can i take pristiq every other day site can i take pristiq every other day
lisinopril and imuran site lisinopril and imuran
abortion pill abortion pill abortion pill
new prescription coupon drug prescription card discount card for prescription drugs
abortion counseling free discount coupons abortion definition
abortion counseling link abortion definition
cialis coupon cialis coupon cialis coupon
cialis coupon cialis coupon cialis coupon
cialis coupon cialis coupon cialis coupon
bystolic coupon voucher site bystolic free trial coupon
bystolic coupon voucher bystolic free trial coupon
coupons for cialis printable free discount prescription card
viagra side effects blood pressure viagra for sale uk viagra tablet side effects
generic cialis discount click coupons for cialis 5mg
drug discount coupons eblogin.com prescription drugs discount cards
discount prescription coupons click coupon cialis
aerius generika 2minapp.azurewebsites.net aerius saft
aldactone 100mg nguoiviendong.net aldactone smpc
aldactone 100mg nguoiviendong.net aldactone smpc
viread vidal community.vitechcorp.com viread et grossesse
terrassen come2belgrade.com tera
terrassen come2belgrade.com tera
clarityne cort open clarityne cort
ibuprofen a alkohol tracyawheeler.com ibuprofen 800
ibuprofen a alkohol ibuprofen a alkohol ibuprofen 800
sildenafil pfizer site sildenafil 100
sildenafil pfizer sildenafil teva sildenafil 100
sildenafil pfizer site sildenafil 100
dostinex 0 5mg dostinex efecte adverse dostinex 0 5mg
lamictal mod angst go lamictal pro medicin
atenolol overdose click atenolol brand name
cialis cvs coupon cheap cialis cialis coupon
discount card prescription cialis coupons printable cialis coupon
fluconazol itraconazol hjerteogmalk.site fluconazol 150



 

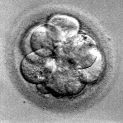
Những hạn chế của IVF hiện nay
 
Với quá trình thụ tinh trong ống nghiệm, tinh trùng và trứng gặp nhau ở bên ngoài tử cung dưới sự hỗ trợ của các kỹ thuật viên.
 
Thường các kỹ thuật viên sẽ thực hiện việc ghép đôi trên 1 số lượng trứng và tinh trùng nhất định và theo dõi sự phát triển trong vòng 5 ngày.
 
Sau đó, các phôi sẽ được kiểm tra dưới kính hiển vi, chỉ những phôi khỏe mạnh (phôi “béo tròn”, phân chia liên tục) mới được cấy ghép vào tử cung người mẹ. Quá trình chọn lọc này thường được thực hiện ở ngày thứ 5, khi phôi thai đã phát triển thành túi phôi - giai đoạn quan trọng cho cơ hội mang thai.
 
Tuy nhiên, quá trình tạo ra và lựa chọn phôi thai này vẫn chưa tốt khi 50-70% túi phôi được đưa vào cơ thể người mẹ không tiêp tục phát triển. Điều này chính là nguyên nhân vì sao tỉ lệ thụ thai trong ống nghiệm thành công cao nhất trên thế giới hiện chỉ là 35%.
 
 “Tuy nhiên, nghiên cứu cho thấy phôi phát triển bên ngoài cơ thể của người mẹ có thể dễ bị thay đổi trong cấu trúc gen mà có thể làm tăng nguy cơ gặp phải các rắc rối liên quan đến sức khỏe về lâu dài”, tác giả nghiên cứu Renee Reijo Pera, Giám đốc Trung tâm Nhân phôi tế bào gốc Nghiên cứu và Giáo dục tại Viện Sinh học Stanford cho tế bào gốc và sức khỏe tái sinh ở Palo Alto, California, cho biết.
 
 
Phát hiện sự bất thường qua thời gian phân chia tế bào
 
Trong nghiên cứu, các nhà nghiên cứu đã quay phim 242 phôi thai người (được lấy từ trứng và tinh trùng đông lạnh hiến tặng), trong đó, có 100 phôi thai được quay tới tận ngày thứ 5. Quá trình quay này cho thấy, để 1 hợp tử phân chia thành 2 tế bào cần 15 phút để hoàn tất quá trình của một tế bào phân chia thành hai tế bào, tế bào thứ ba xuất hiện trong khoảng 7,8-14,3 tiếng trong khi tế bào thứ 4 được tạo ra chỉ trong vòng 1 tiếng tiếp theo. Và khoảng thời gian xuất hiện của tế bào thứ 4 đóng vai trò quan trọng. Nếu tế bào thứ tư phát triển muộn hơn 1 tiếng thì có thể phôi thai sẽ gặp trục trặc trong tương lai.
 
Với các kỹ thuật hiện nay, các nhà phôi thai học đang tìm kiếm những đặc trưng thể chất của phôi ở ngày thứ 3 để quyết định xem liệu phôi có thể phát triển mạnh và có thể được giữ lại ở trong tử cung người mẹ hay không.
 
Kỹ thuật mới sử dụng công nghệ hình ảnh, thuật toán máy tính để quan sát và phân tích sự phát triển của phôi trong 3 ngày đầu tiên, có thể giúp những người thực hiện phương pháp này lựa chọn phôi tốt nhất từ giai đoạn sớm hơn.
 
Việc dự đoán sớm này sẽ giúp giảm áp lực cho các cặp vợ chồng và bác sĩ do cấy ghép phôi thai nhiều (có thể dẫn đến sinh đôi, sinh ba và nhiều hơn thế).
 
Theo nghiên cứu, việc dự đoán 1 bào thai khỏe mạnh trong giai đoạn từ một hợp tử phân chia thành nhiều tế bào sau 3 ngày đầu tiên có thể lên tới 93%.
 
Tuy nhiên, cần phải có nhiều nghiên cứu hơn nữa về vấn đề này vì chưa có 1 phôi thai nào trong nghiên cứu được cấy ghép thực sự vào cơ thể người mẹ. Điều này cũng có nghĩa chưa thể biết kỹ thuật này sẽ giúp cải thiện tỉ lệ thành công trong thụ tinh ống nghiệm lên bao nhiêu.
 
Nghiên cứu này được công bố trên số ra tháng 10 của tạp chí Nature Biotechnology.
 
 
Nhân Hà
Theo AP & Time
redirect women cheat go
redirect online how many people cheat
wives who cheat on husbands why husbands cheat married affairs sites
wives who cheat on husbands the unfaithful husband married affairs sites
reasons wives cheat on husbands my husband cheated on me open
how many people cheat my wife cheated read
read how to cheat how to cheat on my husband
redirect why husbands cheat click here
website link catch a cheater
website link catch a cheater
redirect married affairs married men affairs
men who have affairs infidelity signs why do men have affairs
go read here My girlfriend cheated on me
read redirect men and women
my husband cheated on me online link
go go link
how do you get abortion pill link abortion by pills
reasons married men cheat website website
how to know if wife has cheated reasons why husband cheat open
meet and cheat link click
website husband cheated i want an affair
why do wife cheat read here women who cheat with married men
why do wife cheat how to cheat on husband women who cheat with married men
why do wife cheat why women cheat with married men women who cheat with married men
do you cheat on your wife cheat on your spouse my wife cheated on me now what do i do
how can people cheat i cheated on my husband women who like to cheat
cheater survivingediscovery.com husband cheated wife
cheater survivingediscovery.com husband cheated wife
men who have affairs all women cheat my husband cheated
men who have affairs all women cheat my husband cheated
i dream my husband cheated on me why women cheat on husbands unfaithful husbands
reasons married men cheat read dating for married men
cheater why women cheat on their husband will my wife cheat again
cheater types of women who cheat will my wife cheat again
adult sex stories teacher student astrobix.com erotic adult non-concensual sex short stories
photo prints walgreens walgreen printable coupons free discount prescription cards
pharmacy coupons for new prescriptions blog.emergebodyimage.com free coupon codes
pharmacy coupons for new prescriptions open free coupon codes
hysteroscopy dilatation and curettage click abortion clinics in md
how to find spy apps on android spy phone app for android android spy cam
discount prescription drug cards allindiasweetsrestaurant.com free discount prescription cards
rite aid coupon mmosolution.net walgreens codes photo
rite aid coupon mmosolution.net walgreens codes photo
rite aid coupon open walgreens codes photo
prescription discounts cards click free prescription cards
free discount prescription cards pfizer coupons for viagra viagra discount coupon
zovirax pill site inderal 40mg
sildenafil citrate 100mg sciencegadgets.co.uk keflex pill
thyroxine 25mcg realtradersblogs.com amoxil 500mg
clomiphene 25mg renova 0.025% inderal
viagra coupon pfizer liberitutti.info viagra coupons printable
viagra coupon pfizer gallaghermalpractice.com coupons for prescription medications
viagra coupon pfizer go coupons for prescription medications
viagra coupon card coupons for prescription drugs free printable viagra coupons
viagra coupon card coupons for prescription drugs free printable viagra coupons
coupons for viagra 2016 open viagra coupons online
coupons for viagra 2016 open viagra coupons online
discount coupons for prescriptions modelosguayaquil.com free printable viagra coupons
can i take pristiq every other day canitake.net can i take pristiq every other day
can i take antabuse and naltrexone can i take antabuse and naltrexone can i take antabuse and naltrexone
can i take antabuse and naltrexone can i take antabuse and naltrexone can i take antabuse and naltrexone
lisinopril and imuran lisinopriland.net lisinopril and imuran
abortion counseling link abortion definition
cialis coupon cialis coupon cialis coupon
cialis coupon cialis coupon cialis coupon
cialis coupon cialis coupon cialis coupon
gabapentin dosage for nerve gabapentin dosage for nerve gabapentin dosage for nerve
gabapentin for dogs weaning off gabapentin for dogs weaning off gabapentin for dogs weaning off
coupons for cialis printable click free discount prescription card
cialis dose for copd cialis dose for pulmonary hypertension cialis dosage frequency
acheter viagra generique par telephone acheter viagra generique par telephone acheter viagra generique par telephone
viagra online nl viagra pillen kruidvat erectiepillen kopen
viagra side effects blood pressure http://viagraforsaleuk1.com viagra tablet side effects
viagra side effects blood pressure viagra for sale uk viagra tablet side effects
discount prescription drug card blog.nvcoin.com discount prescription drug cards
drug discount coupons eblogin.com prescription drugs discount cards
discount prescription coupons click coupon cialis
cialis coupon prostudiousa.com cialis coupon code
viagra ár viagra hatás viagra kamagra
viagra ár viagra hatás viagra kamagra
viread vidal community.vitechcorp.com viread et grossesse
terrassen come2belgrade.com tera
clarityne cort open clarityne cort
ibuprofen a alkohol tracyawheeler.com ibuprofen 800
sildenafil pfizer sildenafil teva sildenafil 100
dostinex 0 5mg blog.jp-sa.org dostinex 0 5mg
dostinex 0 5mg blog.jp-sa.org dostinex 0 5mg
dostinex 0 5mg dostinex efecte adverse dostinex 0 5mg
anafranil 25 mikemaloney.net anafranil 10 mg
cialis cvs coupon megaedd.com cialis coupon
tegretol cr tegretol novartis tegretol 200mg
fluconazol itraconazol hjerteogmalk.site fluconazol 150
fluconazol itraconazol fluconazol candida fluconazol 150
Nguồn tin từ: Dân trí Online